病理学/弥漫性毛细血管内增生性肾小球肾炎

来自医学百科

弥漫性系膜增生性肾不球肾炎(diffuse mesangial proliferative glomerulonephritis)的病变特点为弥漫性肾小球系膜增生。多见于青少年,我国及东方国家比西方国家多见。本病可为原发性,也可在一些全身性疾病时发生,如系统性红斑狼疮过敏性紫癜等。有些迁延性毛细血管内增生性肾小球肾炎病变持续不退,可表现为系膜增生性肾小球肾炎。临床可表现为肉眼或镜下血尿蛋白尿,或两者兼有。少数表现为肾病综合征

病理变化】

主要病变为肾小球系膜细胞基质增生,系膜区增宽(图12-10,图12-11)。毛细血管壁无明显变化,管腔通畅。系膜内可有少数单核细胞和中性粒细胞浸润。病变严重者可引起系膜硬化。

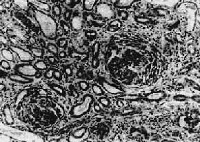
弥漫性系膜增生性肾小球肾炎


图12-10 弥漫性系膜增生性肾小球肾炎

肾小球系膜区略增宽,系膜细胞数量增多

正常肾小球毛细血管及系膜增生性肾小球肾炎示意图


图12-11正常肾小球毛细血管及系膜增生性肾小球肾炎示意图

1.正常肾小球毛细血管及系膜示意图 2.系膜增生性肾小球肾炎示系膜增生

电子显微镜检查可见除肾小球系膜增生外,系膜内并有电子致密物沉积。有时肾小球基底膜表面上皮细胞下、内皮细胞下也可见小形致密沉积物。

免疫荧光法检查显示,系膜区内有免疫复合物沉积,主要为IgM,有时可同时伴有C3沉积。有些病例系膜区内免疫复合物主要为IgG、IgA及C3。

【临床病理联系】

病变主要累及系膜,早期症状多不明显,仅有轻度蛋白尿或复发性血尿,容易被忽略。系膜内沉积的免疫复合物与临床症状有一定联系。有IgM沉积的病人多表现为肾病综合征。同时有IgG、IgA及C3沉积者多伴有血尿。

【结局】

一般病变可及时消退,预后较好。有时病变可持续2~3年,以后仍可消退。部分病人病变严重,不能及时消退,继续发展可导致系膜硬化和肾小球硬化晚期可发展为硬化性肾小球肾炎和慢性肾功能不全

弥漫性新月体性肾小球肾炎(diffuse crecsentic glomerulonephritis)又称毛细血管外增生性肾小球肾炎(extracapillary glomerulonephritis),比较少见,大多见于青年人和中年人,儿童与老年人也可发生,但较少见。病变特点为肾小球内有大量新月体形成。病变严重,进展很快。主要症状为血尿,并迅速出现少尿无尿高血压氮质血症。如不采取措施,常在数周至数月内发生肾功能衰竭,死于尿毒症,故又称快速进行性肾小球肾炎(rapidly progressive glomerulonephritis)。这种肾炎可与其他肾小球疾病伴发,如严重的毛细血管内增生性肾小球肾炎,肺出血肾炎综合征(Goodpasture综合征)或系统性红斑狼疮,过敏性紫癜等。但多数原因不明,为原发性。

【病理变化】

病变为弥漫性。镜下可见大部分肾小球内有新月体形成。新月体主要由肾小球上皮细胞增生和渗出的单核细胞组成。肾小球上皮细胞主要是壁层上皮细胞增生显著,堆积成层,在肾球囊内毛细血管丛周围呈新月形或环状,故称为新月体或环状体(图12-12)。新月体形成很快,可在发病后数日内形成。增生的上皮细胞间可见红细胞中性粒细胞和纤维素性渗出物。有时可见球丛毛细血管发生纤维素样坏死出血。肾球囊内的纤维蛋白可刺激上皮细胞增生,是促使新月体形成的原因。系膜和内皮细胞也增生,但一般程度较轻。早期新月体主要由增生的上皮细胞和单核细胞组成,称为细胞性新月体。新月体内增生的上皮细胞之间逐渐出现新生的纤维细胞,以后纤维组织逐渐增多形成纤维-细胞性新月体。最后新月体内的细胞和渗出物完全由纤维组织替代,成为纤维性新月体。

新月体性肾小球肾炎


图12-12 新月体性肾小球肾炎

肾球囊壁层上皮细胞增生,其间有单核巨噬细胞浸润形成新月体,肾球囊腔被阻塞

新月体形成后,一方面压迫毛细血管丛,另方面肾球囊增厚与球丛粘连,使肾球囊腔闭塞,肾小球的结构和功能严重破坏,影响血浆从肾小球滤过,最后毛细血管丛萎缩纤维化,整个肾小球纤维化玻璃样变,功能丧失。

电镜下,可见肾小球毛细血管基底膜不规则增厚,部分变薄,有时在基底膜上、膜内或膜下可见电子密度高的沉积物。在增生上皮细胞形成的新月体内,可见纤维蛋白条索。有时可见肾小球毛细血管基底膜有裂孔或缺损。血液内的红细胞和纤维蛋白原可通过这些缺损进入肾球囊,促使肾小球上皮细胞增生。

免疫荧光检查结果不一,与致病原因有关。有些病例在肾小球毛细血管基底膜下呈现连续的线形荧光,可能与抗肾小球基底膜性肾炎有关。有些在肾小球基底膜上呈不规则的粗颗粒状荧光,约半数病例很少或不见荧光阳性沉积物。

除肾小球病变外,肾小管上皮细胞常有浊肿和脂肪变,腔内有蛋白凝固而形成的透明管型。由于肾小球纤维化,其所属的肾小管也萎缩消失。间质内纤维组织增生,有多数淋巴细胞,单核细胞等炎性细胞浸润。肉眼观可见肾体积增大,颜色苍白,皮质内有时可见散在的点状出血。

【临床病理联系】

快速进行性肾小球肾炎病人临床上多出现血尿、蛋白尿,迅速出现少尿,甚至无尿和氮质血症。由于这种肾炎常发生在坏死性肾小球肾炎的基础上,病变进展快,肾小球毛细血管坏死,基底膜缺损和出血,因此血尿常比较明显,蛋白尿相对较轻,水肿不明显。大量新月体形成后,阻塞肾球囊腔,血浆不能滤过,故出现少尿甚至无尿。代谢废物不能排出,在体内潴留引起氮质血症。大量肾单位纤维化,玻璃样变,肾组织缺血,通过肾素血管紧张素的作用,可发生高血压。由于病变广泛,大量代谢产物在体内堆积,水电解质和酸碱平衡调节紊乱,最后可导致肾功能衰竭。

【结局】

快速进行性肾小球肾炎,由于病变广泛,发展迅速,预后较差,如不及时采取措施病人往往于数周至数月内死于尿毒症。预后一般与病变的广泛程度和新月体的数量有关。肾内80%~90%以上肾小球皆有新月体形成者往往不能恢复;50%~80%有新月体形成病变程度较轻者进展较慢,存留的肾小球可保留部分功能,病人可维持较长时间。近年来应用中西医结合治疗、人工肾和肾移植等对快速进行性肾不球肾炎的治疗取得了一定的效果。