狼疮性脂膜炎
来自医学百科
狼疮性脂膜炎(lupus erythematosus panniculitis,LEP)又叫深部狼疮,是(系统性红斑狼疮)少见的皮肤损害,发生率约为2%作用。1883年Kaposi首次描述红斑狼疮出现皮下结节,1940年正式将此病命名为狼疮性脂膜炎(LEP)。其临床意义往往提示SLE的病情活动或激素减量过快。
病因[编辑 | 编辑源代码]
本病病因不明,人们普遍认为病因有遗传、病毒、药物、物理因素、性激素以及其他如精神因素等。
临床表现[编辑 | 编辑源代码]
本病多见于中年女性,它常分布于全身各个部位,比如面、颈、胸腹部、上肢等,分布不对称,临床表现为皮肤萎缩、红斑、皮下结节、浸润性红斑、皮肤破溃等,位于皮下、真皮中部或深部,结节坚实,可移动,常有压痛,可自然消退,但常因脂肪的坏死而留有凹陷,很少伴发溃疡。
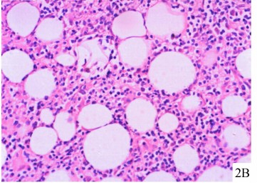
实验室检查[编辑 | 编辑源代码]
实验室检查大部分LEP患者ANA阴性,单独ANA阳性不能诊断为LEP。其病理学检查由脂肪细胞的透明性坏死,粉染物质的沉积。狼疮带试验通常在基底膜带发现免疫沉积物。


治疗[编辑 | 编辑源代码]
治疗以硫酸羟氯喹单用或合用激素为主,大多数患者对治疗反应较好。
参看[编辑 | 编辑源代码]
参考文献[编辑 | 编辑源代码]
- 《凯利风湿病学》第8版.(美)菲尔斯坦 编著,粟占国,唐福林 主译
- 张春丽等.狼疮性脂膜炎1例.个案报告
- 王晓华,辛甜甜等.狼疮性脂膜炎8例临床分析.J Diagn Ther Dermato-Venereol,Aug,2012.Vol.19,No.4