楔状缺损
楔状缺损是牙齿唇、颊侧颈部硬组织发生缓慢消耗所致的缺损,由于这种缺损常呈楔形因而得名。
治疗措施[编辑 | 编辑源代码]
1.组织缺损少,且无牙本质过敏症者,不需作特别处理。
2.有牙本质过敏症者,应用脱敏疗法。
3.缺损较大者可用充填法,用玻璃离子体粘固粉或复合树脂充填;洞深或有敏感症状者,充填前应先垫底。
5.若缺损已导致睡齿横折,可根据病情和条件,进行根管治疗术后,作覆盖义齿或拔除。
【病因学】
1.刷牙 这是发生楔状缺损的主要原因,因此,有人将楔状缺损称为刷牙磨损。其理由是:
①不刷牙的人很少发生典型的楔状缺损,而刷牙的人,特别是用力横刷的人,常有典型和严重的楔状缺损。
②不发生在牙的舌面。
③唇向错位的牙楔状缺损常比较严重。
④楔状缺损的牙常伴有牙龈退缩。
还有实验证明:横刷法刷牙作为单一因素,即可以发生牙颈部缺损。
2.牙颈部的结构 牙颈部釉牙骨质界处的结构比较薄弱,易被磨去,有利于缺损的发生。
3.酸的作用 龈沟内的酸性渗出物与缺损有关。临床上有时见到龈缘下硬组织的缺损,就是这种关系的提示。
4.牙体材料疲劳 近来有研究表明颊侧牙颈部,是力应力集中区。长期的咀嚼力,使牙体材料疲劳,于应力集中区出现破坏。
临床表现[编辑 | 编辑源代码]
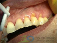
1.典型楔状缺损,由两个平面相交而成,有的由三个面组成,少数的缺损则呈卵圆形。缺损边缘整齐,表面坚硬而光滑,一般均为牙组织本色,有时可有程度不等的着色。
2.根据缺损程度,可分浅形、深形和穿髓形三型。浅形和深形可无症状,也可发生牙本质过敏症。深度和症状不一定成正比关系,关键是个体差异性。穿髓形有牙髓病、尖周病症状,甚至发生牙齿横折。
3.好发于,尤其是第一前磨牙,位于牙弓弧度最突出处,刷牙时受力大,次数多,一般有牙龈退缩。
4.随年龄增长,楔状缺损有增加的趋势,年龄愈大,楔状缺损愈严重。
【治疗原则】
1.损耗甚小(浅)的楔状缺损,无症状,可不必治疗。 2.有牙本质过敏者,可用药物脱敏。 3.过大、过深的缺损,可用充填法修复。已穿髓者可行牙髓治疗,后做缺损修复。对于牙折者,根面好的行根管治疗后,作接冠术、桩冠或拔牙。 4.使用正确刷牙法(竖刷法),刷牙时不要过分用力,切忌粗糙牙粉刷牙,以免损伤牙龈。
用药原则[编辑 | 编辑源代码]
无肯定有效药物。
辅助检查
1.楔状缺损的检查专案以临床常规检查为主; 2.对于有怀疑并发牙髓病、根尖周病等其检查专案可加检查框限内的“A”。
疗效评价
1.治愈:治疗后,主观症状和客观体征消失,牙体形态恢复正常。x线牙片示根尖周正常。未去牙髓者,活力正常。 2.好转:治疗后,没有症状和体征,牙体形态未完全恢复。 3.未愈:治疗后,症状和体征,无改善。
【预防】
改正刷牙方法,避免横刷,并选用较软的牙刷和较细的牙膏。
