核内体

来自医学百科
内吞途径功能区室
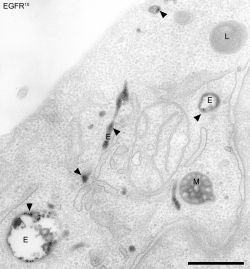
电子显微放大照片中人类海拉细胞中的核内体。E:初级内体,M:次级内体,L:溶酶体。标注比例尺:500纳米

核内体英文名:Endosome,又称内体)在细胞生物学中指的是一种真核细胞中的膜结合细胞器,属于一种囊泡结构[1]。作为细胞内吞作用中运载途径的一个区室,核内体从细胞质膜被传递到溶酶体被其降解,或者再循环回到细胞质膜[2]。一个成熟的内体直径大约500纳米[3]

类型[编辑 | 编辑源代码]

核内体可根据细胞内吞作用的不同时间阶段分为初级内体(early endosome),次级内体(late endosome),以及再循环内体(recycling endosome),并可被如GTP结合蛋白rabs等蛋白标记而区分[4],并且此三种内体在形态上也有不同。一旦在内吞作用中的囊泡被释放,它们首先与初级内体融合,之后再成长为次级内体并与溶酶体融合[5][6]

初级内体成长形成次级内体,随着其酸度通过V-ATpase的活动而增加[7],并且大小通过融合同类型的内体成为更大的囊泡而增加[8]。次级内体或以为多泡体(MVB)的形式呈现。最终,次级内体释放RAB5而获取RAB7,为其与溶酶体的融合做好准备[8]。 次级内体与溶酶体的融合是一个两种区室混合的过程,以结果来看,主要的生化特性也趋于原先二者的属性之间[9]。比如,溶酶体的密度大于次级内体,而融合后的密度介于二者之间。此后溶酶体重新聚合提高自身的密度,而在此之前可能有更多的次级内体与之融合。少数一些初级内体中的物质会直接再循环至细胞质膜[10],但多数还是通过再循环内体。

  • 初级内体:包含囊泡-小管网络,囊泡的直径可大至1微米,周围连接着直径大约50纳米的小管。标记物包括运铁蛋白 RAB5,RAB4和它的运铁蛋白受体,以及EEA1。
  • 次级内体:也被称为多泡体,形态为球形,管状结构较少,主要包含密集的空腔状囊泡。标记物包括RAB7,RAB9,以及M6P受体[11]。次级内体有时也被称作“内吞作用运载囊泡”,但这一术语只用于描述与次级内体融合并且又初级内体发育而来的囊泡,因为基于目前的一些研究,这两种区室之间的运输只出现于成熟的过程中,而并非囊泡运输。
  • 再循环内体:主要集中在微管组织中心,包含管网结构,标记物为RAB11[12]

功能[编辑 | 编辑源代码]

核内体提供了细胞外物质进入细胞内的运载途径。例如很多病毒以此条途径进入细胞,以登革热病毒为例:病毒先吸附在细胞膜上,其后核内体像袋子一样裹住病毒,病毒膜与核内体膜融合,进入细胞质基质[13]。再例如:低密度脂蛋白LDL)进入细胞前,先与细胞表面的低密度脂蛋白受体结合。在到达初级前体时,在膜质子泵V-ATPase产生的微酸性环境下与受体分离,此后受体被再循环回细胞表面,而低密度脂蛋白在内体中被运送至溶酶体。

参见[编辑 | 编辑源代码]

参考文献[编辑 | 编辑源代码]

  1. Ira Mellman. ENDOCYTOSIS AND MOLECULAR SORTING. Annual Review of Cell and Developmental Biology. November 1996, 12: 575–625. Error: Bad DOI specified模板:Namespace detect showall. PMID 8970738. 
  2. 王金发. 《细胞生物学》. 科学出版社,
  3. Ian G. Ganley, Kate Carroll, Lenka Bittova, and Suzanne Pfeffer. Rab9 GTPase Regulates Late Endosome Size and Requires Effector Interaction for Its Stability. Molecular Biology of the Cell. December 2004, 15 (12): 5420–5430. Error: Bad DOI specified模板:Namespace detect showall. PMC532021. 
  4. H. Stenmark. Rab GTPases as Coordinators of Vesicle Traffic. Nature Reviews Molecular Cell Biology. Aug 2009, 10 (8): 513-525. Error: Bad DOI specified模板:Namespace detect showall. PMID 19603039. 
  5. C.E. Futter, A. Pearse, L.J. Hewlett, and C.R. Hopkins. Multivesicular Endosomes Containing Internalized EGF-EGF Receptor Complexes Mature and then Fuse Directly with Lysosome. Journal of Cell Biology. March 1996, 132 (6): 1011 - 1023. Error: Bad DOI specified模板:Namespace detect showall. PMID 8601581. 
  6. J.P. Luzio, B.A. Rous, N.A. Bright, P.R. Pryor, B.M. Mullock, and R.C. Piper. Lysosome-Endosome Fusion and Lysosome Biogenesis. Journal of Cell Science. May 2000, 113 (9): 1515 - 1524. PMID 10751143. 
  7. Lafourcade, C.; Sobo, K.; Kieffer-Jaquinod, S.; Garin, J.; van der Goot, FG.. Regulation of the V-ATPase along the Endocytic Pathway Occurs through Reversible Subunit Association and Membrane Localization. PLoS One. July 2008, 3 (7): e2758. Error: Bad DOI specified模板:Namespace detect showall. PMID 18648502. 
  8. 8.0 8.1 J. Rink, E. Chigo, Y. Kalaidzidis, and M. Zerial. Rab Conversion as a Mechanism of Progression from Early to Late Endosomes. Cell. September 2005, 122 (5): 735 - 749. Error: Bad DOI specified模板:Namespace detect showall. PMID 16143105. 
  9. Barbara M. Mullock, Nicholas A. Bright, Clare W. Fearon, Sally R. Gray, and J. Paul Luzio. Fusion of Lysosomes with Late Endosomes Produces a Hybrid Organelle of Intermediate Density and Is NSF Dependent. Journal of Cell Biology. Feburary 1998, 140 (3): 591 - 601. Error: Bad DOI specified模板:Namespace detect showall. PMID 9456319. 
  10. C.R. Hopkins, and I.S. Trowbridge. Internalization and processing of transferrin and the transferrin receptor in human carcinoma A431 cells. Journal of Cell Biology. 1983, 97 (2): 508 - 521. Error: Bad DOI specified模板:Namespace detect showall. PMID 6309862. 
  11. Russell, MR.; Nickerson, DP.; Odorizzi, G.. Molecular mechanisms of late endosome morphology, identity and sorting. Current Opinion in Cell Biology. August 2006, 18 (4): 422 - 428. Error: Bad DOI specified模板:Namespace detect showall. PMID 16781134. 
  12. Ullrich, O.; Reinsch, S.; Urbé, S.; Zerial, M.; Parton, RG.. Rab11 regulates recycling through the pericentriolar recycling endosome.. J Cell Biol. Nov 1996, 135 (4): 913–24. PMID 8922376. 
  13. 美国登革热病毒研究取得新进展. 《美国参考》. 2010年10月13日. 


模板:细胞结构

参考来源[编辑 | 编辑源代码]