边缘性龈炎
边缘性龈炎又名为不洁性龈炎、龈缘炎或慢性牙龈炎。是一组发生于牙龈组织的病变,包括牙龈组织的炎症以及全身疾病在牙龈组织的表现。慢性牙龈炎是一种由细菌长期感染引起的牙龈组织炎性病变。目前关于此病的调查资料显示,人群中牙龈炎的患病率为80%左右。几乎每个人在其一生中的某个时间段都可能发生不同程度和范围的慢性牙龈炎。
病因[编辑 | 编辑源代码]
慢性牙龈炎其病因明确且无深层牙周组织的破坏,牙龈缘附近牙面上堆积的牙菌斑是引起慢性牙龈炎的始动因子,其他如牙石、食物嵌塞、不良修复体等均可促使菌斑积聚,引发或加重牙龈的炎症,由于没有经常彻底清除堆积在牙缝和龈袋中的食物碎屑和钙质而引起发病。一些不良嗜好,比如吸烟、酗酒、熬夜、饮食不规律、牙齿排列不整齐等均可成为慢性牙龈炎的易发因素。
临床表现[编辑 | 编辑源代码]
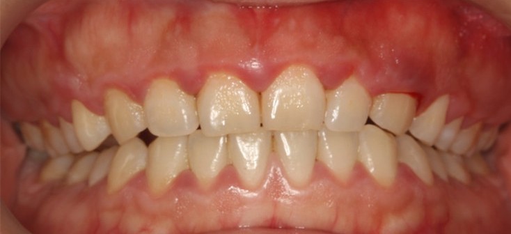
病损部位局限于牙龈的游离缘和牙龈乳头。牙龈变为鲜红色或暗红色,炎性充血可波及附着龈。龈乳头圆钝肥大,点彩消失,表面光亮。牙龈轻轻碰到便可导致出血,患者常常是因为刷牙时候出血或咬硬物出血(比如吃苹果)而就诊。简单地说,主要表现便是牙龈红肿、口臭、牙龈出血,如不及时治疗,则容易进一步发展为牙周炎,对牙齿及全身健康危害较大。
诊断[编辑 | 编辑源代码]
根据临床表现及局部刺激因素的存在便可诊断,一般不会太困难。但应该排除全身性疾病引起的牙龈出血,比如肝硬化等。
治疗[编辑 | 编辑源代码]
慢性牙龈炎的治疗方法较多,以机械方法控制菌斑效果最好,但化学方法使用方便,容易被患者接受。可以通过洁治术彻底清除牙石、菌斑等刺激牙龈的因素;常用3%过氧化氢和生理盐水交替冲洗牙龈袋,局部涂碘甘油。3%过氧化氢冲洗时与组织中的过氧化物酸接触后立即产生氧,可发泡、清洗、同时还有灭菌、除臭、止血的功效。生理盐水可冲洗3%过氧化氢产生的酸性刺激。也可口服甲硝唑(杀菌,针对病因)同时用盐酸米诺环素软膏置入牙周袋内,每周置入药物1次,共4次。二者合用可以有效杀灭牙龈周围的致病菌,达到治疗的目的。也有报道认为复发氯已定含漱液治疗牙龈炎效果不错。值得推荐。
患者注意事项[编辑 | 编辑源代码]
- 注意保持牙齿的干净,一天至少要3次刷牙,每次刷牙最好不要少于2分钟,采取正确的刷牙方法。
- 最好戒烟,不要饮用过多酒精,限酒,少吃辛辣刺激食物。
- 当牙龈出血时应首选排除一些严重的疾病,比如肝硬化、血液病(白血病等)等,再考虑是否牙龈炎,针对病因严格治疗。
正确刷牙方法[编辑 | 编辑源代码]
正确刷牙法
诊断检查[编辑 | 编辑源代码]
1、询问牙龈出血情况、刷牙习惯及方法,有无其他全身性疾病。
2、检查有无局部刺激因素,如菌斑、牙石、食物嵌塞、不良修复物等。
3、检查牙龈边缘及乳头的颜色、外形有无改变,探诊是否易出血,必要时作血常规、血小板计数和肝功能等检验。
治疗方案[编辑 | 编辑源代码]
1、去除局部刺激因素是主要的,如作龈上洁治术,彻底清除菌斑、牙石并酌情作调整咬合、纠正不良修复物等。
2、强调正确的刷牙方法以控制菌斑,保持口腔卫生,并注意饭后漱口、睡前刷牙。
3、酌情给漱口剂,如0.05%~0.2%洗必泰溶液、复方硼砂溶液或其他漱口剂等。漱口后用3%碘甘油局部涂擦。
4、遇出血较多而无其他疾病者,可分次作龈上洁治术,必要时用药物止血后贴敷牙周塞治剂,4~5d后去除之。
龈上洁治术注意点:
1、菌斑、牙石必须去净,若炎症较重、出血较多者可分次刮除。操作时必须有稳妥的支点,动作轻巧,避免损伤牙龈组织。
2、应用超声波洁牙机时,应调节好输出功率,注意工作头只能轻微接触牙石,不能加压,并应避免损伤牙龈。
安全提示[编辑 | 编辑源代码]
主要是去除局部刺激因素,如通过专科龈上洁治器作洁治术以清除菌斑和牙石。消除食物嵌塞,去除不良修复物等;炎症较重时可配合局部药物治疗,如用1~3%地过氧化氢液冲洗龈沟,拭干后涂以10%碘合剂或2%碘甘油,用0.05~0.2%洗必太液或复方硼砂漱口液、0.3%氯化锌液等含漱。治疗后需注意口腔卫生的维护。教会患者正确的刷牙方法,坚持早晚刷牙、饭后漱口,保持口腔清洁,以巩固疗效。
并发症[编辑 | 编辑源代码]
一是心脏病。国外在研究了一千多个病例后发现,牙龈炎病人患心脏病比率要比普通人高出三倍,其原因是某些细菌可以通过牙龈中的裂口进入血液,进而影响肝脏,使其产生一种能够阻塞动脉的蛋白,造成动脉栓塞。细菌引发心脏病的具体方式还是一个谜,但科学家已经在脂肪状动脉栓塞中发现了一种口腔细菌;口腔细菌对已经患有心脏病的人就更具威胁性。一些牙病患者都可能遇到这样的情况,如果同时患有心血管病,医生都在治疗口腔疾病前让病人服用抗生素,防止口腔手术中大量微生物进入血液,引发的细菌性心内膜炎。
二是中风。国外有关机构对近万名年龄在25岁到75岁间的人进行了跟踪调查,结果发现那些有严重牙龈炎病人患中风的机会是其他人群的两倍。医学家解释,由于口腔细菌可以导致颈动脉的脂肪栓塞,如果这种脂肪块上游到大脑中,阻塞灰白质中的一条血管,就会引发中风。
三是糖尿病。当糖尿病病人受到细菌侵袭时,胰岛素就不能有效地工作,就会提高血糖的含量。国外对168名糖尿病患者研究发现,那些患有严重牙龈炎的人很难控制血糖含量。内分泌科专家建议,有糖尿病家族史的人牙龈被感染时,要尽快去医院检查,看看是否已患糖尿病。
四是胃溃疡。据国外的一项研究资料表明,导致胃溃疡的细菌是寄居在牙斑上的。研究人员对242例胃溃疡患者进行了调查,结果在其中210人的口腔中发现了这种病菌,由此可以看到口腔卫生与胃溃疡之间的关系了。
五是肺炎。医学研究表明,人们每呼吸一次时,都会有大量的细菌进入肺中,导致呼吸系统疾病,同时,它们寄居在人们的口腔中,虽说人类的免疫系统可以将它们消灭,但是如果人们某段时间免疫力低下时,这些细菌就会趁虚而入,有可能引发细菌性肺炎。
参看[编辑 | 编辑源代码]
参考文献[编辑 | 编辑源代码]
- 《口腔科学》人民卫生出版社第七版医学教材.张志愿主编
- 碘伏治疗慢性牙龈炎的疗效观察.《护理研究》 ISTIC -2011年34期吴崇玲 徐平英
- 慢性牙龈炎56例的多发因素及治疗效果分析.《中国社区医师(医学专业)》 -2011年27期刘永发 刘力宁
- 复方氯已定含漱液对牙龈炎与菌斑的疗效观察.《海南医学院学报》 ISTIC -2007年1期 徐晓慧
| |||||||||||||||||||||||||||||||||||||||||||
