急性胃扩张

来自医学百科

急性胃扩张(acute gastric dilatation)是指短期内由于大量气体和液体积聚,胃和十二指肠上段的高度扩张而致的一种综合征。通常为某些内外科疾病麻醉手术的严重并发症

检查[编辑 | 编辑源代码]

急性胃扩张

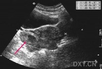
实验室检查可发现血液浓缩、低血钾、低血氯和碱中毒。立位腹部X线片可见左上腹巨大液平面和充满腹腔的特大胃影及左膈肌抬高。  

诊断[编辑 | 编辑源代码]

根据病史、体征,结合实验室检查和腹部X线征象,诊断一般不难。手术后发生的胃扩张常因症状不典型而与术后一般胃肠症状相混淆造成误诊。此外,应和肠梗阻肠麻痹鉴别,肠梗阻和肠麻痹主要累及小肠腹胀以腹中部明显,胃内不会有大量积液和积气,抽空胃内容物后患者也不会有多大好处,X线平片可见多个阶梯状液平。  

治疗措施[编辑 | 编辑源代码]

急性胃扩张

暂时禁食,放置胃管持续胃肠减压,纠正脱水电解质紊乱和酸碱代谢平衡失调。低血钾常因血浓缩而被掩盖,应予注意。病情好转24小时后,可于胃管内注入少量液体,如无潴留,即可开始少量进食。如无好转则应手术。过度饱餐所致者,胃管难以吸出胃内容物残渣或有十二指肠梗阻及已产生并发症者亦应手术治疗。手术方式一般以简单有效为原则,如单纯胃切开减压、胃修补及胃造瘘术等。胃壁坏死常发生于贲门下及胃底近责门处,由于坏死区周围炎症水肿及组织菲薄,局部组织移动性较差,对较大片坏死的病例,修补或造瘘是徒劳无益的,宜采用近侧胃部分切除加胃食管吻合术为妥。

近代外科在腹部大手术后多放置胃管,术后多变换体位,注意水、电解质及酸碱平衡,急性胃扩张发生率及病死率已大为降低。  

饮食注意[编辑 | 编辑源代码]

急性胃扩张

饮食过量或饮食不当(尤其是狂饮暴食)是引起急性胃扩张的最常见病因。短时间内大量进食使胃突然过度充盈、胃壁肌肉受到过度的牵拉而发生反射性麻痹,食物积聚于胃内,胃持续扩大。胃扩大后,胃粘膜的表面积剧增,胃壁受压,胃的血循环受阻,加之食物的发酵引起的胃粘膜炎症,使胃粘膜有大量液体渗出胃窦的扩张和胃内容物的刺激使胃窦分泌的胃泌素增多,刺激了胃液的分泌;小肠受扩大的胃的推移而使肠系膜受到牵拉,一方面影响腹腔神经丛而加重胃的麻痹,另一方面十二指肠横部受到肠系膜上动脉的压迫及空肠上部受到牵拉而出现梗阻,加上幽门松驰等因素,使十二指肠液的返流增多;另外由于扩大后胃与食管角度的改变,使胃内容物包括气体难于经食道排出,这些因素互为因果,形成恶性循环,终使胃呈急剧的、进行性的扩大,形成急性胃扩张。如病情继续发展,胃壁的血循环状况将进一步恶化,可出现血性渗出,最后可出现胃壁的坏死甚至穿孔

急性胃扩张

病人常于大量进食后不久出现上腹部胀痛并伴呃逆,但呃出的气体不多;频繁呕吐而每次的呕吐量不大,呕吐呈溢出性,严重者呕出咖啡样液体;口渴思饮,但饮之即呕。病情进一步发展后可出现休克,病人精神不振,甚至神志不清。腹部可呈不对称性隆起。

急性胃扩张的主要治疗手段是留置鼻胃管,进行持续的胃内减压,同时积极纠正水与电解质的失衡。对于经内科手段处理后病情不能缓解或出现胃壁坏死、穿孔等并发症者应尽快考虑手术治疗。如能及早发现并能得到及时的处理,急性胃扩张的预后尚好。多数病例经内科疗法处理即可获痊愈,不需进行手术处理。但如果病情进一步发展,尤其是有胃壁坏死、胃穿孔等并发症出现时,则病死率极高。  

病因学[编辑 | 编辑源代码]

某些器质性疾病和功能性因素均可并发急性胃扩张,常见者归纳为三类:

急性胃扩张

(一)外科手术 创伤、麻醉和外科手术,尤其是腹腔、盆腔手术及迷走神经切断术,均可直接刺激躯体或内脏神经,引起胃的自主神经功能失调,胃壁的反射性抑制,造成胃平滑肌弛缓,进而形成扩张。麻醉时气管插管,术后给氧和胃管鼻饲,亦可使大量气体进入胃内,形成扩张。

(二)疾病状态 胃扭转、嵌顿性食管裂孔疝以及各种原因所致的十二指肠壅积症、十二指肠肿瘤、异物等均可引起胃潴留和急性胃扩张;幽门附近的病变,如脊柱畸形环状胰腺胰癌等偶可压迫胃的输出道引起急性胃扩张;躯体部上石膏套后1~2天引起的所谓“石膏套综合征”(cast syndrome),可能是脊柱伸展过度,十二指肠受肠系膜上动脉压迫的结果;情绪紧张、精神抑郁、营养不良均可引起植物神经功能紊乱,使胃的张力减低和排空延迟;糖尿病神经病变、抗胆碱能药物的应用;水、电解质代谢失调、严重感染(如败血症)均可影响胃的张力和胃的排空,导致急性胃扩张。

急性胃扩张

(三)各种外伤产生的应激状态 尤其是上腹部挫伤或严重复合伤,其发生与腹腔神经丛受强烈刺激有关。

短时间内进食过多也是偶见原因。

当胃扩张到一定程度时,胃壁肌肉张力减弱,使食管与责门、胃与十二指肠交界处形成锐角,阻碍胃内容物的排出,膨大的胃可压迫十二指肠,并将系膜及小肠挤向盆腔。因此,牵张系膜上动脉而压迫十二指肠,造成幽门远端的梗阻。唾液、胃十二指肠液和胰液、肠液的分泌亢进,均可使大量液体积聚于胃内,加重胃扩张。扩张的胃还可以机械地压迫门静脉,使血液郁滞于腹腔内脏,亦可压迫下腔静脉,使回心血量减少,最后可导致周围循环衰竭。由于大量呕吐、禁食和胃肠减压引流,可引起水和电解质紊乱。  

临床表现[编辑 | 编辑源代码]

急性胃扩张

大多起病缓慢,迷走神经切断术者常于术后第2周开始进流质饮食后发病。主要症状有腹胀、上腹或脐周隐痛,恶心和持续性呕吐。呕吐物为混浊的棕绿色或咖啡色液体,呕吐后症状并不减轻。随着病情的加重,全身情况进行性恶化,严重者可出现脱水、碱中毒,并表现为烦躁不安呼吸急促、手足抽搐血压下降和休克。突出的体征为上腹膨胀,可见毫无蠕动的胃轮廓,局部有压痛叩诊过度回响,有振水声。脐右偏上出现局限性包块,外观隆起,触之光滑而有弹性、轻压痛,其右下边界较清,此为极度扩张的胃窦,称“巨胃窦症”,乃是急性胃扩张特有的重要体征,可作为临床诊断的有力佐证。

本病可因胃壁坏死发生急性胃穿孔急性腹膜炎

实验室检查可发现血液浓缩、低血钾、低血氯和碱中毒。立位腹部X线片可见左上腹巨大液平面和充满腹腔的特大胃影及左膈肌抬高.  

预后[编辑 | 编辑源代码]

近代外科在腹部大手术后多放置胃管,术后多变换体位,注意水、电解质及酸碱平衡,急性胃扩张发生率及病死率已大为降低。  

并发症[编辑 | 编辑源代码]

急性胃扩张可因胃壁坏死发生急性胃穿孔和急性腹膜炎

急性胃扩张

当胃扩张到一定程度时,胃壁肌肉张力减弱,使食管与责门、胃与十二指肠交界处形成锐角,阻碍胃内容物的排出,膨大的胃可压迫十二指肠,并将系膜及小肠挤向盆腔。因此,牵张系膜上动脉而压迫十二指肠,造成幽门远端的梗阻,唾液、胃十二指肠液和胰液、肠液的分泌亢进,均可使大量液体积聚于胃内,加重胃扩张。扩张的胃还可以机械地压迫门静脉,使血液郁滞于腹腔内脏,亦可压迫下腔静脉,使回心血量减少,最后可导致周围循环衰竭。由于大量呕吐、禁食和胃肠减压引流,可引起水和电解质紊乱。