急性化脓性乳突炎
疾病名称[编辑 | 编辑源代码]
药物疗法[编辑 | 编辑源代码]
乳突凿开术;鼓室穿刺抽脓;鼓膜切开;氯霉素;麻黄素;复方新诺明;红霉素;交沙霉素;鼓室穿刺抽脓
基本概述[编辑 | 编辑源代码]
中耳乳突间有粘膜相连续,中耳化脓感染后乳突粘膜亦相应有炎症反应,初起为卡他炎性,乳突区可能有轻度压痛,俟鼓膜穿孔流脓后,乳突炎性反应随即消失。如排脓不畅,或第Ⅲ型肺炎球菌感染,毒性很强,破坏骨质,使乳突小房粘膜水肿、出血、坏死化脓,便成为急性化脓性乳突炎,实际为急性中耳炎之后续,应称为急性化脓性中耳乳突炎。
诊断方法[编辑 | 编辑源代码]
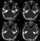
中耳炎鼓膜穿孔流脓后症状体征反而加重者,多为突感染所致。乳突X线摄片或CT扫描,可见乳突区混浊或有骨质破坏。
治疗措施[编辑 | 编辑源代码]
急性期治疗同急性化脓性中耳炎,如经合理治疗一个月不见好转,或高热体温不下,耳后红肿,外耳道后壁塌陷,乳突X线摄片有骨质破坏,应采用简单乳突凿开术治疗。
手术方法:小儿全麻,成人可局麻。用1%普鲁卡因或利多卡因,加少许1‰肾上腺素。用球后注射针头沿耳道口内骨软骨交界处作环状浸润麻醉,再改用7号针头作耳后乳突区皮下浸润麻醉,沿耳后上起耳廓上缘后0.5cm,下距耳沟后1.5cm左右,到乳突尖部,作弧形切口,小儿乳突发育差,切口不应过前、过低,以免伤及面神经。切开骨膜,分离出乳突,用凿或电钻沿外耳道后上棘后方筛状区凿开,此区为马克西温三角,尖朝后上,上界为颧弓后根,向后水平连线,前下为外耳道后上棘,后为外耳道口后缘。由此与外耳道后壁平行向前内凿开,成人深约1cm,小儿2~4mm,即入鼓窦空腔内。由此将病变小房、粘膜、肉芽及死骨片等一并除净,尤其是鼓窦入口内肉芽,一定要清除,建立引流。但勿扰动听骨及鼓室结构,勿剥离外耳道皮肤,以免影响听力和形成耳道瘘管或狭窄,向前下勿损伤半规管和乳突段面神经。手术完成后的乳突腔应为健康的光滑的骨腔,前界为鼓窦入口和外耳道后壁,上界为脑膜板,后界为乙状窦板,如疑有颅内并发症,应将脑膜板及乙状窦凿开少许,探查有无肉芽及脓肿。术后冲洗止血,填塞碘仿纱条,逐层缝合切口,纱条尾端留置腔外以便于抽出。术后5~7天抽出纱条,术后2~3天更换敷料,并继续全身应用方谱抗生素治疗,1~2个月后乳突腔即由血块和肉芽充填,中耳感染可望治愈。
病理改变[编辑 | 编辑源代码]
乳突气化程度不同,发炎后表现亦有不同。
(一)气化乳突 小房骨片很薄,易于坏死融合形成大空腔,称为融合性乳突炎。如为毒性较强之溶血性链球菌和溶血性流行性感冒杆菌感染,常致粘膜血管栓塞,出血坏死,小房充满血性分泌物,而骨壁未遭破坏,称为出血性乳突炎。
(二)间质型(板障型)乳突 骨小房少,皮层较厚且有骨髓结构,感染后形成骨髓炎,炎症经久不消,因引流不畅易并发颅内感染。
(三)硬化型(坚质型)乳突 小房很小,呈象牙样结构,感染后既不易引流亦不易形成骨质破坏,常引起粘膜组织增生,鼓膜松弛部充血、坏死,形成胆胆瘤。
临床表现[编辑 | 编辑源代码]
中耳炎后流脓增多,耳后沟红肿压痛,耳廓耸向前方,压外耳道口后方麦三角区剧痛,鼓膜松弛部充血水肿。耳鸣耳聋不见好转。
病因[编辑 | 编辑源代码]
急性乳突炎实际上为急性中耳炎之后续,故常称为急性化脓性中耳乳突炎。也有人认为急性化脓性乳突炎是急性化脓性中耳炎的并发症之一。本病致病菌以肺炎链球菌、金黄色葡萄球菌、绿脓杆菌等最常见。
鉴别诊断[编辑 | 编辑源代码]
急性乳突炎还应与外耳道疖、耳后软组织炎性疾病鉴别。
并发症[编辑 | 编辑源代码]
感染后形成骨髓炎,炎症经久不消,因引流不畅易并发颅内感染。
| |||||||||||||||||||||||||||||||||||||||||||
