孟氏骨折
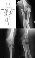
尺骨上1/3骨折合并桡骨小头脱位称孟氏骨折。孟氏骨折多发生于青壮年及小儿,直接或间接暴力皆可引起。1914年意大利外科医生Monteggia最早报导了这种类型骨折,故称孟氏骨折。
病因[编辑 | 编辑源代码]
多为间接暴力致伤,根据暴力方向及移位情况临床可分三种类型:
(一)伸直型 比较常见,多发生儿童。肘关节伸直或过伸位跌倒,前臂旋后掌心触地。作用力顺肱骨传向下前方,先造成尺骨斜形骨折,残余暴力转移于桡骨上端,迫使桡骨头冲破,滑出环状韧带。向前外方脱位。骨折断端向掌侧及桡侧成角。成人直接暴力打击造成骨折,骨折为横断或粉碎型。
(二)屈曲型 多见于成人。肘关节微屈曲,前臂旋前位掌心触地,作用力先造成尺骨较高平面横型或短斜型骨折,桡骨头向后外方脱位,骨折断端向背侧,桡侧成角。
(三)内收型 多发生幼儿。肘关节伸直,前臂旋前位,上肢略内收位向前跌倒,暴力自肘内方推向外方,造成尺骨喙突处横断或纵行劈裂骨折,移位较少,而桡骨头向外侧脱位。
凡尺骨上端骨折,X片上没见到桡骨头脱位,在治疗时,应按此种骨折处理。因为桡骨头脱位可自行还纳。如忽略对桡骨头固定。可自行发生再移位。
症状[编辑 | 编辑源代码]
外伤后肘部及前臂肿胀,移位明显者可见尺骨成角或凹陷畸形。肘关节前外或后外方可摸到脱出的桡骨头。前臂旋转受限。肿胀严重摸不清者,局部压痛明显。
检查[编辑 | 编辑源代码]
X 线检查:前臂正、侧位片可以确诊。应包括肘关节以免漏诊,注意肱桡关节的解剖关系,必要时可拍健侧 X 线片作对照。凡尺骨上段骨折,而 X 线片未见到桡骨头脱位时,应按此种骨折处理,因为桡骨头脱位后有时会自行复位。
诊断[编辑 | 编辑源代码]
根据患者有明显外伤史,患肢疼痛,活动受限,局限性压痛。Х线片可确定骨折部位及移位情况。
鉴别[编辑 | 编辑源代码]
桡骨下1/3骨折合并下尺桡关节脱位也称反孟氏骨折。移位不明显者,仅有疼痛、肿胀及压痛,前臂旋转活动受限。移位明显者,桡骨出现短缩与成角畸形,下尺桡关节压痛,尺骨头膨出。 X线摄片显示在桡骨下1/3交界处,横形或短斜形骨折,多无严重粉碎。如桡骨骨折移位明显,下尺桡关节将完全脱位。在前后位X线摄片上,桡骨短缩,远侧尺桡骨间距减少,桡骨向尺骨靠拢。侧位片上,桡骨头向掌侧成角,尺骨头向背侧突出。
治疗[编辑 | 编辑源代码]
由于此种损伤兼有骨折与脱位,治疗较为复杂。如果在具体措施上不能两者兼顾,则预后多不佳,已成为骨科临床上一大难题。即便手术复位及内固定,其疗效亦往往难以十分满意。因此,治疗时务必加以重视。需根据患者年龄及骨折情况等不同特点酌情加以处理,具体方法及要求如下:
1.儿童及幼儿骨折 绝大多数可用闭合复位治疗。麻醉后,将患肢置于上肢螺旋牵引架上,在牵引下术者一手拇指压住桡骨小头、另手持住患儿腕部,在边牵引,边旋转前臂的同时,迫使桡骨小头返回原位。当闻及弹响声时,表示已还纳,此时可将患肢肘关节屈曲至70°~80°,如此可减少桡骨小头的滑出率。如桡骨小头向后脱出,则应取略伸位。并以上肢石膏托固定。数天后,俟肿胀消退再更换上肢石膏1~2 次。此种操作方式的特点是:
(1)复位疗效佳:桡骨头易于复位,且一旦还纳,则起内固定及支撑作用,尺骨亦随之复位。
(2)操作简便:复位手法几乎与单纯之桡骨头或颈骨折完全一致,易于操作。
(3)预后佳:根据对此类骨折患儿的远期随访,疗效均较满意。
2.成人骨折 治疗多较复杂,手术率较高。
(1)尺桡骨双骨折+桡骨小头脱位:原则上采取开放复位及内固定,其中包括对环状韧带的修补或重建。尺骨及桡骨骨折宜选用髓腔三角钉内固定,并注意尺桡骨本身的生理弧度。
(2)其他类型者:仍先以手法复位及石膏固定。具体要求如下:
①麻醉确实。
③先对桡骨头复位,手法如前述。复位后屈时至80°~90°(前脱位者),或110°~120°(后脱位者),然后再对尺骨进行复位。
④透视或拍片显示骨折端对位满意后,立即行上肢石膏固定留置绷带于石膏内层,备石膏剖开时用;注意石膏塑形。
⑤再次拍片,至少应达到功能对位,否则需改为开放复位。
⑥消肿应及时更换石膏,并定期拍片及复查以防变位。如手法失败,应尽早开放复位及内固定术
