十二指肠溃疡

来自医学百科
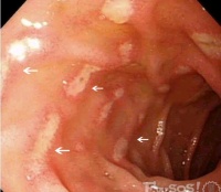
Bk9o1.jpg

十二指肠溃疡是消化道常见病,一般认为是由于大脑皮质接受外界的不良刺激后,导致胃和十二指肠血管肌肉发生痉挛,使胃肠壁细胞营养发生障碍和胃肠粘膜的抵抗力降低,致使胃肠粘膜易受胃液消化而形成溃疡,目前有人认为是幽门螺杆菌感染所致,溃疡常为单个性,但也有多个溃疡,胃和十二指肠球部溃疡,同时存在时称复合性溃疡

 

发生部位[编辑 | 编辑源代码]

典型的十二指肠溃疡发生在十二指肠第一部(95%),最常见在距幽门3cm以内(90%)。溃疡发生在前壁最多,占50%;其次为后壁,占23%;下壁占22%;上壁最少,占5%。偶可前后壁均有。十二指肠溃疡一般不发生恶变。十二指肠溃疡发生在十二指肠第一部远侧是很少见的,必需考虑是非典型的十二指肠溃疡,包括Zollinger-Ellison综合征、药物性溃疡、恶性肿瘤或Crohn病。

病理过程[编辑 | 编辑源代码]

十二指肠溃疡的形成经历了糜烂、急性溃疡、慢性溃疡的发展过程。

(1)糜烂:糜烂是黏膜层的浅凹陷,其深度未穿过黏膜肌层。肉眼呈红色点状浅凹陷,直径一般小于0.5cm。糜烂可发生于十二指肠各部,可分为急性糜烂和慢性糜烂,合并出血则为出血性糜烂。镜下观察,糜烂深浅不同,浅者仅及腺颈部,深者达黏膜肌层,但未穿过该层。糜烂底部有少量坏死组织,糜烂底部和边缘有多数中性粒细胞浸润。一般糜烂愈合后不留瘢痕

(2)急性溃疡:急性溃疡是指穿过黏膜肌层,深至黏膜下层的溃疡。可由糜烂发展而来,直径一般小于1cm,边界清楚。镜下见黏膜及黏膜肌层已全部破坏消失。溃疡底部附着少量坏死组织,表面有少量纤维素及多数中性粒细胞渗出,可伴有出血。溃疡边缘黏膜充血,有中性粒细胞和淋巴细胞浸润。

(3)慢性溃疡:15%的十二指肠溃疡为多发性,可伴发胃溃疡。肉眼观察溃疡底部,较清洁,有少量渗出物及坏死组织附着。溃疡出血时在溃疡底部可见凝血块。镜下观察:溃疡底由4层组织构成,炎性渗出物层,有中性粒细胞及纤维素细胞;其下为一层无结构的凝固性坏死组织,坏死组织层下为肉芽组织瘢痕组织

十二指肠溃疡的致病因素[编辑 | 编辑源代码]

十二指肠溃疡的致病因素比较复杂,在过去20余年的时间里,十二指肠溃疡被认为是一种多因素所致的疾病。或多种有害对黏膜的破坏超过其抵御损伤和修复的能力。直到近期,十二指肠溃疡仍被认为是一种终生疾病。不过近来这种认为多种生物和环境因素仅对易感者发生有害作用的看法已逐渐被以下认识所取代。

1.遗传基因 遗传因素对本病的易感性起到较重要的作用,其主要依据是:①患者家族的高发病率;②遗传基因标志(血型及血型分泌物质、HLA 抗原、高胃蛋白酶原)的相关性。十二指肠溃疡患者的同胞中十二指肠溃疡发病率比一般人群高2.6倍;更值得注意的是十二指肠溃疡在单合子双胎同胞发病的一致性为50%,在双合子双胎同胞发病的一致性也增高。

(1)十二指肠溃疡与血型的关系:1953年Aird等发现O型血者发生十二指肠溃疡的可能比其他血型者高35%左右;O型血者在十二指肠溃疡患者中占56.5%,在对照人群中占45.8%,并且溃疡伴出血、穿孔合并症者也以O型血者较多见。据我国对十二指肠溃疡病例统计,O型血者也显著高于对照组,与国外报道的基本相符。血型物质ABH分泌于唾液及胃液中,据国外资料记载,无血型物质分泌者患十二指肠溃疡的危险性比有血型物质分泌者高1.5倍。

(2)消化性溃疡与HLA抗原的关系:HLA是一种复杂的遗传多态性系统,基因位点在第6对染色体短臂上。至今已发现多种疾病与某些HLA抗原有相关性。国外资料中已报道HLA-B5、HLA-B12及HLA-BW35与十二指肠溃疡呈相关性,但有的文献中的结果为无相关性。

(3)十二指肠溃疡与某些遗传综合征:有人发现某些罕见的遗传综合征如多发性内分泌腺瘤Ⅰ型(胰岛细胞分泌胃泌素腺瘤甲状旁腺腺瘤、垂体前叶腺瘤、系统性肥大细胞增多症及其他罕见综合征),与十二指肠溃疡相关。特别是系统性肥大细胞增多症是一种常染色体显性遗传疾病,患者中约40%同时罹患十二指肠溃疡。十二指肠溃疡虽然与血型、血型分泌物质、HIL-A抗原相关,但非强相关,其他资料的家系调查结果不能证实本病的遗传是按照简单的孟德尔定律支配的方式。有鉴于此,目前较普遍的假说是十二指肠溃疡是一组由多种基因遗传即遗传的异质性(genetic heterogeneity)的疾病,在这种遗传素质的基础上,可能有非遗传的或外界因素参加导致发病。

2.胃酸分泌过多 十二指肠溃疡发病机制并不是单一明确的过程,而是复合、相互作用的因素形成;由于损害因素和防御间的平衡失常造成的。

(1)胃酸分泌过多:十二指肠溃疡的发病机制中,胃酸分泌过程起重要作用。早在1910年Schwartz提出“无酸就无溃疡”的观点至今仍是正确的,十二指肠溃疡不发生于胃酸分泌很低,最大胃酸分泌(MAO)<10mmol/h 的患者。虽然正常人和十二指肠溃疡患者的最大胃酸分泌能力是相互重叠的,但十二指肠溃疡患者作为整体能分泌更大量的胃酸(平均泌酸为20mmol/h),尤其是进餐刺激反应的胃酸分泌。胃酸分泌量的大小是和胃壁细胞总体(parietal cell mass,PCM)的多少平行的,十二指肠溃疡患者平均有1.8亿个壁细胞,约为正常人的2倍。十二指肠溃疡患者除了壁细胞数量的增多外,其壁细胞对胃泌素、组织胺迷走神经胆碱能途径的刺激敏感性加强。胃酸分泌因而增高,是十二指肠溃疡发生的重要因素。

(2)进食对胃酸分泌的影响:食物也可以刺激胃酸分泌,约60%的十二指肠溃疡病人对食物的刺激较敏感。不仅餐后,即使在饭间酸分泌水平也高而且持续时间长。用pH 监测法也可以证实此种现象。对食物的种类反应也不尽相同,蛋白质含量高的食物,刺激强,脂肪含量高的食物则反应弱。

3.十二指肠黏膜防御机制减弱 十二指肠通过特异性pH敏感的受体、酸化反应,反馈性延缓胃的排空,保持十二指肠内pH接近中性,且十二指肠黏膜能吸收腔内氢离子和不受胆盐的损伤。十二指肠溃疡患者中,这种反馈延缓胃排空和抑制胃酸的作用减弱,而胃排空加速,使十二指肠球部腔内酸负荷量加大,造成黏膜损害可形成溃疡。前列腺素E 不仅有抑制胃酸的作用,更重要有直接保护黏膜的作用和促进溃疡愈合。十二指肠溃疡患者的十二指肠黏膜前列腺素E 的含量较正常对照组明显降低,降低了十二指肠黏膜的保护作用。十二指肠溃疡病人的十二指肠黏膜碳酸氢盐分泌减少,可导致酸性消化性损害。

4.幽门螺杆菌感染 幽门螺杆菌(helicobacter pylori,Hp)感染和消化性溃疡的发病密切相关。根除Hp 治疗能显著降低溃疡的复发率。Hp 感染是胃窦炎的主要病因,是引起消化性溃疡的重要因素。Hp 是一种微需氧革兰阴性杆菌,呈螺旋形。人的胃黏膜上皮细胞是它的自然定植部位。Hp 能在酸性胃液中存活是由于它具有高活性的尿素酶,分解尿素产生氨,在菌体周围形成保护层。检测黏膜组织中Hp的最可靠方法是联合细菌培养组织学染色检查。更简便快速的检测Hp方法是内镜活检组织尿素酶试验,其敏感度为88%~93%,特异性为99%~100%。Hp是人类常见的细菌感染,它的流行与年龄、种族、经济和卫生情况相关。Hp可经人与人之间的口-粪或口-口途径传播。实际上所有十二指肠溃疡患者均有Hp感染。急性十二指肠溃疡和Hp感染患者比无感染的溃疡患者进餐后反应性分泌更多的酸和释放更多的胃泌素。胃酸分泌增多时,十二指肠球部被过度酸化,使十二指肠球部内出现胃上皮化生灶,为Hp从胃窦黏膜移植十二指肠球部创造条件,Hp 在球部生存繁殖而发生急性十二指肠炎,在其他致溃疡因素的诱导下发生溃疡。但这一十二指肠溃疡发生机制,仍待进一步证实。虽然以上各因素和十二指肠溃疡有关,酸仍是最重要的,内科和手术治疗降低胃酸分泌,结果使溃疡愈合。过多酸分泌的情况造成溃疡形成。动物实验慢性组胺的刺激产生酸过多可形成和人类相同的十二指肠溃疡。

5.其他因素 流行病学资料提示,十二指肠溃疡的形成与发展尚与许多生活习惯和环境密切相关。

(1)止痛剂:非甾体类抗炎药(NSAID)可对胃黏膜造成损伤。近年来,有很多研究支持NSAID可引起胃溃疡,溃疡穿孔,胃、十二指肠溃疡出血及因溃疡病死亡。有愈来愈多的证据提示NSAID与老年溃疡穿孔关系密切。在英国和德国的报道也发现老年人十二指肠溃疡的死亡率上升,其部分原因可能与止痛剂服用的增加有关。尽管引发十二指肠溃疡的危险性小,但因十二指肠溃疡产生并发症的危险并不比胃溃疡少,提示NSAID可能使已有的胃或十二指肠溃疡产生并发症。

(2)吸烟:如果吸烟是一个病因因子,那么19世纪初以来十二指肠溃疡的急剧增加可能与之有关。因为纸烟是James Bonsack 1880年首先在美国制造的,1883年Bonsack烟草制造机引入英国,几年后传入欧洲其他国家,导致20世纪上半个世纪欧美国家吸烟者的增加。近年来出现的消化性溃疡男女性别比例的下降也与女性吸烟的增加相符。与之相似,近30年来在西方国家溃疡发病率的下降也与近年来吸烟人数的普遍下降相吻合。据报道,吸烟可以导致基础和最大胃酸分泌量增加,并可以使十二指肠反流

(3)应激:如果应激作为消化性溃疡的病因因子,则20世纪初西方国家工业化和城市化开始时溃疡发病率的增加则可能与此有关。同时也可以解释一些地区如香港,十二指肠溃疡穿孔的增加,而这些地区止痛剂的服用总的来说较少。它也可解释十二指肠溃疡患病率的季节差异,男女性别比的地区和时间差异,以及不同地区十二指肠溃疡与胃溃疡比例的差别,也与卧床休息能治愈溃疡相符合。

(4)饮食纤维:以大米为主食的中国南方和印度南部地区的十二指肠溃疡发病率高于以面粉为主食的北部地区,提示饮食纤维是十二指肠溃疡的病因因子。在印度孟买,十二指肠溃疡愈合后继续食用大米者,溃疡5年复发率为14%,将饮食改为旁遮普邦 (含有未很好加工的麦子)者,溃疡5 年复发率达81%。提示十二指肠溃疡复发亦与食物纤维含量有关。然而,最近在英国进行的一项病例对照研究发现,尽管蔬菜纤维与溃疡有些联系,但饮食总纤维与十二指肠溃疡并无联系。

(5)饮食亚油酸:一些西方国家近30年来消化性溃疡发病率的下降,Hollander和Tarnawski推测这一下降可能与亚油酸的摄入增加有关,亚油酸是食物中一个重要的前列腺素E的前体。他们测定了十二指肠溃疡与对照组脂肪组织的脂肪酸谱,显示脂肪组织的亚油酸在溃疡病患者明显降低。而脂肪组织的脂肪酸谱又能很好地反映饮食摄入亚油酸的量。这一发现支持亚油酸与消化性溃疡关系的假说。  

临床诊断[编辑 | 编辑源代码]

临床症状[编辑 | 编辑源代码]

溃疡病以疼痛为主要症状,其疼痛多为周期发作,秋季至春季是发作季节,可由气候寒冷或饮食不洁而诱发,胃小弯溃疡的疼痛多于餐后0.5~1小时发生,十二指肠溃疡或胃幽门部溃疡,多发于餐后3~4小时,有时可在半夜发生,但老年人的疼痛部位常无固定也缺乏明显的时间规律。其典型表现为饥饿不适、饱胀嗳气泛酸或餐后定时的慢性中上腹疼痛,严重时可有黑便与呕血。一般经药物治疗后,症状缓解或消失。如无效,应进一步作X线钡餐及胃镜检查,以除外穿孔、梗阻或恶变的可能性。

十二指肠溃疡的主要临床表现为上腹部疼痛,可为钝痛灼痛、胀痛或剧痛,也可表现为仅在饥饿时隐痛不适。典型者表现为轻度或中度剑突下持续性疼痛,可被制酸剂或进食缓解。临床上约有2/3的疼痛呈节律性:早餐后1~3小时开始出现上腹痛,如不服药或进食则要持续至午餐后才缓解。食后2~4小时又痛,也须进餐来缓解。约半数患者有午夜痛,病人常可痛醒。节律性疼痛大多持续几周,随着缓解数月,可反复发生。  

发病特点[编辑 | 编辑源代码]

十二指肠溃疡发病有以下特点:

①慢性过程呈反复发作,病史可达几年甚或十几年。

② 发作呈周期性,与缓解期相互交替。过去发作期可长达数周或数月,现因有效治疗而显著缩短。缓解期亦可长短不一,短的仅几周或几个月,长的可达几年。

③发作有季节性,多在秋冬或冬春之交发病,可因不良精神情绪或解热镇痛药消炎药物诱发。

④多发于中青年男性。

部分病例可无上述典型的疼痛,而仅表现为无规律性较含糊的上腹隐痛不适,伴腹胀厌食、嗳气等症状。随着病情的发展,可因并发症的出现而发生症状的改变。一般来说,十二指肠溃疡具有上腹疼痛而部位不很确定的特点。如果疼痛加剧而部位固定,放射至背部,不能被制酸剂缓解,常提示后壁有慢性穿孔;突然发生剧烈腹痛且迅速蔓延及全腹时应考虑有急性穿孔;有突然眩晕者说明可能并发出血

一忌冰冻和过热饮食。饮食温度适中,饮茶、汤不宜过热。 

影像学表现[编辑 | 编辑源代码]

十二指肠溃疡十二指肠溃疡绝大部分发生在球部,占90%以上。球部腔小壁薄,溃疡易造成球部变形,X线检查易于发现。球部溃疡常较胃溃疡小,直径多为4~12mm,大都在后壁或前壁,因此多显示为轴位象,表现为类圆形或米粒状密度增高影(图4-2-13),其边缘大都光滑整齐,周围常有一圈透明带,或有放射状粘膜皱襞纠集。可以是单个或多个。龛影通常使用加压法或双重造影法才能显示。

许多球部溃疡不易显出龛影,但如有恒久的球部变形,也能作出溃疡的诊断。球部变形主要是由于瘢痕收缩、粘膜水肿和痉挛所致,可以是山字形、三叶形、葫芦形等。有时在变形的球部仍可显示龛影。球部溃疡愈合后,龛影消失,变形可继续存在。此外,球部溃疡还可出现一些其他征象:

1.龛影:龛影为诊断十二脂肠球溃疡的直接征象,多见于球部偏基底部。正位,龛影呈圆形或椭圆形,加压时周围有整齐的环状透亮带称“日晕征”。切线位,龛影为突出球内壁轮廓外的乳头状影。

2.“激惹征”:钡剂于球部不能停留,迅速排空,称为“激惹征”。

3.十二指肠球畸形:为十二指肠球溃疡常见的重要征象。表现为球一侧出现指状切迹,后者不恒定,随蠕动而变浅、消失,球外形呈山字形、花瓣型及小球状等畸形。

4.假性憩室:其形态大小可改变,尚可见粘膜皱壁进入憩室内,而龛影形态不变。

5.粘膜皱襞改变;粘膜皱襞增粗、平坦或模糊,可呈放射状纠集到龛影边缘。

6.常伴胃窦炎

7.球后溃疡:球后溃疡较常见,大小不一,多位于肠腔内侧,外侧壁常有痉挛收缩或疤痕形成,使管腔狭窄,多呈偏心性。凡十二指肠降段上部发现痉挛收缩,应考虑球后溃疡的可能。  

并发症[编辑 | 编辑源代码]

1.胃出口梗阻 慢性十二指肠溃疡均可引起瘢痕形成,从而影响胃的排空,这种情况称为胃出口梗阻。患者常主诉进食后上腹胀满、早饱感及呕吐几小时甚至几天前的臭宿食,呕吐可在晚上加重;呕吐与溃疡疼痛的关系不确定。呕吐物常常含有消化不良的上一餐食物。呕吐后上腹不适或疼痛可暂时缓解。长时间的胃出口梗阻常表现出轻微的疼痛和较长时间间隔的呕吐发作。此时患者体重下降明显,并且导致最终在一次急性发作时达到顶点,伴随脱水电解质紊乱。慢性出口梗阻病人可出现低氯性碱中毒、手足抽搐、体重下降,有时可合并吸入性肺炎

2.十二指肠溃疡穿孔 近期资料表明,男女溃疡病患者每年发生穿孔的比率分别为O.8%和O.3%,其中大多数患者有大量吸烟史。上述穿孔发病率尚未统计有关老年人大量应用ASA/NSAIDs的影响,而目前这部分患者穿孔的发病率正在升高。至于幽门螺杆菌感染者、幽门螺杆菌阴性但使用ASA/NSAIDs者或两种危险因素并存的患者,发生穿孔的相对危险性,目前尚不清楚。

溃疡穿孔常急骤起病,一开始即伴发全腹剧痛、肠鸣音消失及明显的腹肌紧张(板状腹)。患者不愿移动,有濒死感。穿孔可为溃疡的首发表现,尤其多见于应用ASA/NSAIDs或卓-艾综合征的病人。

3.穿透性溃疡 与穿孔不同,溃疡穿透(penetration)至毗邻脏器如肝、胰腺或胆道系统,极少引起严重后果。临床可表现为腹痛加重,失去节律性,局部压痛加重,药物需要量增加或出现其他疾病的表现,如胰腺炎胆管炎。最常见的表现是胰腺炎。大多数病例严格内科治疗效果良好,仅少数患者需外科治疗。

4.出血 消化性溃疡出血是上消化道出血的最常见病因,占其中的1/3~1/2。有10%~15%的溃疡患者以出血为首发症状。总死亡率约10%,但老年患者及合并其他严重疾病的病人死亡率明显增加。长期随访观察的结果表明,在10~15年中,约15%的溃疡患者发生出血;15~25年中,25%~40%的溃疡病人发生出血。这些统计数字来源于一些较早的研究,当时溃疡病的治疗常常不规律,也不充分。近期的统计资料则显示5年内约1 2%的患者发生出血,或每年有2.7%的男性患者及2.5%的女性患者发生出血。曾有出血史的患者再出血率为5%。十二指肠溃疡出血患者无特异性症状,只有30%~40%的出血患者具有前期的溃疡症状。除十二指肠溃疡典型的、有节律的、周期性的上腹痛外,其他症状包括腹胀、厌食、反酸、恶心或呕吐,也可以除呕血、黑便外无症状。  

治疗[编辑 | 编辑源代码]

西医治疗[编辑 | 编辑源代码]

无并发症的溃疡病应内科治疗,药物治疗的主要目的是解除症状和促进溃疡愈合,防止复发和并发症的出现。

一般处理 患者应禁烟酒和对胃肠有刺激性的食物及药物,如咖啡类固醇激素、NSAIDs等。治疗期间应软食,少食多餐,生活有规律,并适当休息。

药物治疗[编辑 | 编辑源代码]

(1)H2受体拮抗剂:是治疗溃疡病的主要药物,对DU治疗效果较好。可用甲氰咪胍西咪替丁)、雷尼替丁法莫替丁等药物治疗。西咪替丁常用用法为: 200mg,日服3次,400mg临睡前再服;4周愈合率为70%~80%,8周几乎为100%,给予800mg/d维持量,一年内复发率为44%,如溃疡愈合后不给维持量预防复发,则一年内复发率50%以上。雷尼替丁的常用方法为:150mg,日服2次,愈合后给予维持剂量150mg每晚临睡前再服;4周溃疡愈合率为50%~90%,8周为83%~93%,应用维持剂量者一年复发率为35%左右。法莫替丁的用法为20mg,日服2次或40mg每晚临睡前服;疗效与雷尼替丁相近。

(2)H+-K+ATP 酶(质子泵抑制剂:以奥美拉唑洛赛克)为代表,是目前最新和抑酸作用最强的药物,并具有黏膜保护和抗幽门螺杆菌的作用。奥美拉唑在消化性溃疡的治疗中不仅能迅速缓解活动性溃疡的症状加速溃疡愈合,而且在长期治疗中有可靠的维持愈合的作用。每日应用20~60mg的奥美拉唑,大约有64%的患者在治疗2周后症状消失、溃疡愈合。与H2受体拮抗剂相比,奥美拉唑对缓解疼痛的效果出现得更快,溃疡愈合率更高。

(3)抗幽门螺杆菌(Hp)治疗:对Hp有明确抑制或杀灭作用的药物主要有铋剂、甲硝唑替硝唑阿莫西林克拉霉素四环素呋喃唑酮等。杀灭Hp可提高疗效和防治复发。但目前尚无单一药物可有效根除Hp,二联用药也根除率不高,故目前主张三联用药。有关治疗方案很多,常用的方案有:① 奥美拉唑20mg(或兰索拉唑30mg )+ 克拉霉素250mg~500mg + 甲硝唑400mg ,2/d,疗程7天;② 奥美拉唑20mg + 阿莫西林1g + 甲硝唑400mg ,2/d,疗程14天;③ 铋剂(如De-Nol)120 mg + 四环素250mg + 甲硝唑200mg,4/d,疗程14天。

(4)保护胃粘膜促进溃疡愈合的药物:此类药物有硫糖铝胶体铋,它们对胃酸无抑制和中和作用。其主要作用是能与溃疡创面的蛋白质结合形成一层保护膜,使免受胃酸-胃蛋白酶的侵袭。胶体铋(三钾二枸橼酸铋盐,De-Nol)对幽门螺杆菌有抑制作用,服药6周后,DU的愈合率达70%~90%,但停药后复发率高达80%。

(5)其他:抗胆碱能药物能抑制乙酰胆碱毒蕈碱受体的作用,减少胃酸分泌,但不如H2受体拮抗剂有效,目前已不是治疗溃疡病的首选药物,仅作为辅助治疗。吗丁啉可促进胃排空,利于溃疡的愈合。丙谷胺被认为能阻断胃泌素受体而减少胃酸分泌;前列腺素能抑制胃酸分泌并具有细胞保护作用,可增强黏膜的抵抗力。  

临床上常用“三联疗法”治疗此病:如

  • 雷尼替丁0.15g,一日2次(清晨及睡前服用)+阿莫西林1g,一日2次+呋喃唑酮0.1 g,一日3次,联用7天
  • 奥美拉唑0.2g,一日3次+阿莫西林1g,一日2次+呋喃唑酮0.1 g,一日3次;
  • 泮立苏0.04g+阿莫西林1g+呋喃唑酮0.lg,每天2次,三联治疗7天后,继续单用泮立苏0.04g,每天1次,连服3周,针对幽门螺旋杆菌感染所致溃疡有很好疗效;
  • 潘托拉唑片0.04g,一日1次,克拉霉素0.5g,每日2次,阿莫西林1g,每日2次,治疗难治性溃疡;
  • 兰索拉唑0.015g,阿莫西林1g,每天2次,呋喃唑酮0.1 g,每天3次,联用7 天后改用兰索拉0.015mg,每天2次,联用28天。收效良好。  

手术治疗[编辑 | 编辑源代码]

为胃大部分切除术,也可采用迷走神经切除术,这两类治疗方法均可取得良好治疗效果。

外科治疗适应证

DU外科治疗的适应证主要有两类:第Ⅰ类:发生严重并发症的DU,如急性穿孔、大出血和瘢痕性幽门梗阻;第Ⅱ类:内科治疗无效或某些特殊类型的溃疡。

1.急性穿孔 一般是指急性游离穿孔,出现下列情况须采取手术治疗:①饱食后穿孔;②腹腔渗液较多,就诊时间较晚,发生局限或弥漫性化脓性腹膜炎;③一般情况欠佳或有休克表现;④溃疡病史较长,有顽固性疼痛且发作频繁;⑤伴有幽门梗阻、出血等并发症;⑥保守治疗效果不佳。

2.大出血 若溃疡病并大出血已经确诊,一般先行内科治疗,出现下列情况应考虑外科手术治疗:①出血迅猛,情况危急,出血后不久即发生休克者;②6-8小时内输血600 ml -900ml,生命体征不见好转或虽一度好转,但停止输血或输血速度减慢后,又迅速恶化,或在24小时内需输血1000ml以上才能维持血压者;③内科治疗出血不止,或暂时止住出血,不久又复发者;④年龄大于60岁,血管硬化,估计难以止血者;⑤同时有溃疡穿孔或幽门梗阻者;⑥胃镜检查见活动性大出血,而内科治疗无效者。

3.幽门梗阻 一旦诊断为瘢痕性幽门梗阻,应在充分做好术前准备后进行手术治疗。

4. 内科治疗无效或某些特殊类型的溃疡 内科治疗无效的DU,是指经过严格的药物治疗,溃疡症状持续不缓解或反复发作影响患者的日常生活和工作。从病理变化来看,大致相当于慢性穿透溃疡,或位于十二指肠球后的溃疡,或胃泌素瘤、多发内分泌腺瘤等引起的溃疡。从临床特点来看,溃疡疼痛的节律性消失,多变为持续性疼痛,进食和抗溃疡药物不能止痛或发作时间延长等。对于这种难治性溃疡,不能贸然诊断,急于手术治疗,但也不能无限制的继续药物治疗。虽然各医院掌握的标准并不尽相同,但选择手术治疗的具体临床标准大致是:①病史多年,发作频繁,病情越来越重,疼痛难忍,至少经一次严格的内科治疗,未能使症状减轻也不能制止复发,以致影响身体营养状态,不能正常生活和工作;②经X线钡餐检查或胃镜检查,证实溃疡较大,球部严重变形,有穿透到十二指肠壁外或溃疡位于球后部者;③过去有过穿孔或反复大出血,而溃疡仍呈活动性;④胃泌素瘤患者。  

中医穴位治疗[编辑 | 编辑源代码]

中国的医学,自古以来便以其独特的思维方式来解释穴道疗法的效果。在《黄帝内经.素问》中就有记载“气血不顺百病出”的句子。所谓的气血,就是支配内脏的一种能量,而这种能量若流动混乱,就会引起各种疾病。

“内病外治”之精华,古方今制。穴位保健治疗法又是我国中医治疗的根本,他对于疾病的保健治疗可发挥莫大的助力。比如治疗肠胃病的李氏胃肠贴 便是针对人体相关穴位,采用纯天然中草药精华,利用经皮给药,大大减少了西药直接作用内脏给人体带来的副作用和依赖性。从而达到改善微循环,增加肌体细胞活力,有效缓解患部疼痛的作用。

穴道就是位于能量流动的通路上。这种通路称为“径路”,穴道的正常称法应是“经穴”。内脏若有异常,就会反应在位于那有异常的内脏径路上,更进一步地会反应在能量不顺的经穴上。因此,通过给予穴道刺激,使能量的流动顺畅,而达到治病保健的功效,这就是穴道保健治疗的目的了。

穴道保健治疗法对疾病的治疗,的确有极高的效果,而且,最近也逐渐借科学的方法剖析其效果。

其结论,简单的说,就是:穴道疗法之效能是借刺激穴道而调整自律神经达到健体强身为目的的运动。中医认为体内循环系统发生紊乱,就会生病,而这所谓能量紊乱的状态,换句话说,就是自律神经平衡失调的状态。

常用穴位有;足三里公孙穴中脘穴膻中穴  

预防保健[编辑 | 编辑源代码]

1.应规律进餐,可以少量多次,并避免粗糙、过冷、过热和刺激性大的饮食如辛辣食物、浓茶、咖啡等。

2.戒烟限酒。

3.缓解精神紧张。

4.必要时使用药物促使溃疡加速愈合。有些药物能够使胃酸分泌减少,有些药物会给溃疡面敷上一层诸如铝盐或蛋白质的保护膜;应禁用能损伤胃粘膜的药物如阿司匹林消炎痛保泰松等。

建议食品及食用方法[编辑 | 编辑源代码]

1.螺旋藻 食用螺旋藻后,螺旋藻能够迅速分解成细微粒子,紧贴在胃和十二指肠的粘膜上,形成一层保护膜,由此促进粘膜再生,修复已损伤的粘膜,使胃部倍感舒适。

2.磷脂 磷脂可促进细胞活化、组织再生修复。 3.优质蛋白 优质蛋白中含有全面、丰富、均衡的必需氨基酸,可以很好地解决胃部营养的滋补问题。

饮食疗法[编辑 | 编辑源代码]

胃肠湿热证是由于偏食肥腻、辛辣、甘甜食物或饮酒,以及湿邪化热,引起湿热蕴阻肠胃的病证。急性胃炎慢性胃炎、消化性溃疡、十二指肠炎吸收不良综合征溃疡性结肠炎等病常出现或伴有此证。

1. 胃肠湿热证的临床表现及宜忌食物

临床表现:

胃腑湿热为主的症状:胃部疼痛伴有灼热、烧心感,口干口苦;以肠道湿热为主的症状:腹痛、泄泻泻下急迫、泻而不爽、肛门灼热、粪色黄褐而臭;以上两者的共同点是 均有口粘、口渴但不想饮水,小便黄,舌苔黄腻脉濡数或滑数。

宜食食物:

性质寒凉、味淡或苦,具有清热、利湿作用的食物,如莜麦、玉米、薏米、小麦、小米、赤小豆绿豆蚕豆苦瓜黄瓜冬瓜、大头菜、空心菜、金针菜、苋菜、莴苣茭白等。

忌食食物:

性质温热,有补益助热作用的食物,如米、狗肉羊肉鸡肉、河虾、海虾、海参、链鱼、草鱼、荔枝、橘子、刀豆芥菜、薤白等。

味辛辣性温热,易助热生火的食物,如韭菜辣椒、肉桂、干姜、生姜花椒胡椒小茴香、菜茴香大蒜白蔻等。

磁腻味厚,易生湿、加重湿证的食物,如山药、糯米、红枣、蜂蜜龙眼、花生、西瓜、松子、猪肉、牛奶、枇杷等。

具有收涩而可滞留湿邪的食物,如乌梅莲子石榴芡实等。

2.食疗参考方

a. 赤小豆薏米饮:赤小豆30克、薏米30克,加清水文火炖煮30分钟后取100毫升汁液,再炖30分钟后倒出剩下的100毫升汁液,将两次的汁液搅匀,温饮或凉饮。

b. 金针冬瓜汤:干金针菜20克,切段,开水浸泡20分钟后与50克冬瓜丝入沸汤,片刻即好,加盐、味精,点几滴香油。

c. 素烧苦瓜:新鲜苦瓜200克,切丝,先用开水浸泡片刻以去苦味,再入油锅烧炒至九成熟,出锅,勾欠(含有盐、味精)浇汁。  

饮食禁忌[编辑 | 编辑源代码]

二忌食太荤、太油和煎炸的食物。饮食中以易消化食物为主,

肉类炒煮要熟,蔬菜不要半生。

三忌食多量味精、酸辣及过咸的食物。饮食以清淡为主,味

重会刺激胃酸分泌,少量的生姜和胡椒,可暖胃和增强胃粘膜的

保护作用。

四忌饮食无律无度。宜少吃多餐,避免饥饿痛,疼痛时可吃

一两块苏打饼干。

五忌饮酒、浓茶和咖啡。特别是酒,对胃刺激过大,会使溃疡恶化。  

保健指导原则[编辑 | 编辑源代码]

1.急性发作期应注意休息,要劳逸结合,避免精神紧张及

情绪不稳定。

2.停止进食一切对胃有刺激的食品,如油煎食品、辛辣食

品、浓茶咖啡等。

3.禁用损伤胃粘膜的药物,如阿斯匹林、消炎痛、保泰松

等。

4.戒烟、戒酒。烟酒可延迟胃炎的好转和溃疡的愈合。

5.进餐应有规律,“少吃多餐”,可在餐间加吃些饼干和

糕点。

6.不宜过多饮用豆乳等,因此类食品较易引起胀气。

7.在医生指导下,正确服用各类药物。

8.定期检查,遇有症状明显变化,应及时就诊检查。  

十二指肠溃疡的注意事项[编辑 | 编辑源代码]

改善饮食习惯 消除过度的精神紧张

胃液分泌增多,粘膜变弱,造成胃或十二指肠的内壁溃烂或受伤,就是胃或十二指肠溃疡,原因是不规律的饮食习惯或过度紧张等。主要症状是上腹疼痛。此外,还会感到胸口闷烧、胃消化不良,若因溃疡而出血时,大便会呈黑色,也有吐血贫血现象。

十二指肠溃疡最明显的症状是空腹或夜间时腹痛,而胃溃疡是在饭后2-3小时内,心窝处会疼痛。同时,胃会有勒紧的不适感及胸口闷烧等。溃疡恶化出血时,大便会呈黑色。胃出血时也会吐血,此时的血如同咖啡渣滓的颜色。出血量多时,会导致贫血。

若有由溃疡转成出血性的征兆时,要马上接受医生诊断治疗,胃溃疡或十二指肠溃疡穿孔(胃或十二指肠的壁上开孔)致内容物溢出可演变成为膜炎。腹部会突然剧烈疼痛,肚子变硬。此外,若有恶心、呕吐或心窝四周有胀满及消化不良的感觉时,可能是胃和十二指肠之间的幽门溃疡,也可能是幽门狭窄致食物无法通过。

溃疡大多不会演变成癌症,不过,两者初期的症状都很类似。因此须接受精密的检查和诊断。治疗时,大都不须开刀,而是制酸剂的药物治疗。不过,停止服药后很容易复发,所以必须长期服药。

日常的饮食也要注意,以易消化的食物为主,避免刺激性物质,吃七分饱,维持规律、正常的饮食习惯。溃疡虽然容易治疗,但是出容易复发。除饮食要注意外,烟、酒,都要限制,保持充足的睡眠、适度的运动及消除过度的紧张,是基本有效的方法。

含丰富的维生素C 可强化胃壁的马铃薯

马铃薯含丰富的维生素C、钾、钙均衡的矿物质,而且有淀粉,即使加热,维生素C也不易被破坏,方便摄取。

南瓜有助于健胃整肠

南瓜有丰富的维生素C及胡萝卜素(即维生素A),其果实、花、种子、叶子都有药效,淀粉多,煮食后仍含丰富的维生素C。要想充分发挥药效,用蒸的方法较理想。胃隐隐抽痛进,可煮南瓜浓汤,有助消化。南瓜花可煮汤,有降热、止下痢的效果。

可促使胃壁粘膜再生的高丽菜

高丽菜含维生素C及K,可促使胃或十二指肠的粘膜再生,治疗溃疡。生吃或加热都很可口,平时常食用,可调整体质。不过,煮、炒会破坏维生素C,所以要治疗溃疡,还是以生吃或稍为加热再吃较好。将高丽菜放进果汁机搅拌成汁,再稍微加热,在饭前饮用,大约持续喝10天,效果就会显现。

可强健疲弱胃肠的无花果

无花果可治溃疡及强健疲弱的肠胃。将干燥的无花果切碎,煮成半干,加入少许蜂蜜和水,即可饮用。保存无花果,可先使其干燥,放在火上煮再磨成粉,使用时,加开水或水泡即可。

可健胃的蒲公英及龙胆草

早春盛开的蒲公英有健胃的功用,可当药用或食用。最简单的使用方法是洗净其叶子,含在口中,慢慢咬碎;叶和花也可当配菜或做沙拉吃。龙胆草的根有药效,但很苦,比熊胆更苦,所以中药名为龙胆胃酸过多和过少时,首要改善饮食 胃酸过多与过少,症状类似。胃酸过多或过酸症指的是胃液分泌过多,胃液中的胃酸浓度偏高的状况,可能因情绪、神经紧张引起,或患有消化性的溃疡、胆囊炎的疾病。

相反地,胃液中胃酸浓度低,即为胃酸过少,可能是恶性贫血、热带性脂肪下痢、慢性胃炎引起。当有这两种情况时都要接受胃液检查。胃酸过多和过少的症状类似,主要的症状是胃消化不良、打嗝及胸口烧痛等。若是胃酸过多,打嗝时也会出现酸的胃液;若是低酸症,因胃酸不足,会产生消化不良及下痢。

食物对胃酸的影响

蛋白质:能短暂中和游离酸,但半小时后,却比糖类、脂肪更易刺激胃酸分泌。

脂肪:抑制胃酸分泌,当进入十二指肠,分泌肠抑胃激素,而减少胃酸分泌及延缓胃排空。 肉汁、丹宁酸咖啡因酒精化学性刺激,会使胃酸分泌。

药物:如组织胺会刺激胃酸分泌。 情绪:如快乐或可口食物皆会刺激胃酸分泌。

胃酸过多要多摄取蛋白质 节制刺激性食品

胃酸过多的人在日常生活中要注意抑制胃酸分泌,避免暴饮暴食和刺激性食品。除禁烟、禁酒或节酒外,消除过度紧张也很重要。遵照医生指示,服用控制胃酸分泌的制酸剂。

在食物方面,因胃液分泌过剩,为保护胃壁,要多摄取蛋白质。蛋白质丰富又不刺激胃的食品有豆腐、白肉鱼及牛奶等。豆类中也含有许多上等的蛋白质,但豆类不易消化,必须煮软后再食用。豌豆煮清淡、松软些,也可健胃整肠。要使胃的粘膜强健,维生素也是不可缺少的,要多多吃水果及蔬菜等丰富含维生素的食品。使用油煮食时,若能善用橄榄油胡麻油,也能抑止胃酸分泌;不过,不可过量。应该节制的则有虾子、贝类等不易消化的鱼贝类、多脂肪的肉类、笋子、地瓜等纤维多的蔬菜及过酸过甜的食品。蔬菜类要尽量煮软,再食用。

咖啡、红茶及香辣调味料会强烈刺激胃,平时就要节制食用或调淡些食用。不过,病情严重时,绝对禁止。民间疗法中有使用蛋壳的,先将其洗净,磨成粉末,每次-3克加白开水饮用。

儿童十二指肠溃疡[编辑 | 编辑源代码]

小儿十二指肠溃疡发生的原因和机理尚未十分清楚,可能与小儿粘膜防御机能降低、精神因素、遗传因素、幽门螺旋杆菌感染以及某些使胃酸分泌增多的有关因素等有密切关系。

小儿十二指肠溃疡与成人十二指肠溃疡的临床表现不同,缺乏季节性疼痛发作、饥饿性周期性疼痛以及典型的规律性疼痛等特征。年龄愈小表现愈不典型。不同年龄时期,表现为不同的症状:

新生儿十二指肠溃疡 不易被发现,病情轻者可自愈,病情重的可迅速发生并发症。表现为急腹症和休克等症状。

婴幼儿十二指肠溃疡 多呈急性溃疡过程,症状少,少复发,常因并发穿孔或出血后才被确诊。

学龄前期儿童十二指肠溃疡 男孩多于女孩,患儿能自诉腹痛,腹痛部位不明确,有时在脐周,有时在上腹部。疼痛呈间歇性,常伴有恶心呕吐,呕吐后疼痛可减轻。并发症少见。

学龄儿童十二指肠溃疡 男孩多于女孩,呈长时期间歇性上腹隐痛,可周期性发作,有时甚至夜间痛醒。患儿常有食欲不振和消瘦。溃疡易复发。

大龄儿童十二指肠溃疡 与成人相似,有典型的十二指肠溃疡临床表现,X线钡餐及内腔镜检查均可确诊。

参看[编辑 | 编辑源代码]