医学影像学

来自医学百科

医学影像学在医学诊断领域是一门新兴的学科,不过目前在临床的应用上是非常广泛的,对疾病的诊断提供了很大的科学和直观的依据,可以更好的配合临床的症状、化验等方面,为最终准确诊断病情起到不可替代的作用;同时也很好的应用在治疗方面。  

定义[编辑 | 编辑源代码]

 

医学影像学Medical Imaging泛指通过X光成像(X-ray),电脑断层扫描(CT),核磁共振成像(MRI), 超声成像(ultrasound),正子扫描(PET),脑电图(EEG),脑磁图(MEG),眼球追踪(eye-tracking),穿颅磁波刺激(TMS)等现代成像技术检查人体无法用非手术手段检查的部位的过程。  

仪器[编辑 | 编辑源代码]

主要包括X光成像仪器、CT(普通CT、螺旋CT)、正子扫描(PET)、超声(分B超、彩色多普勒超声心脏彩超、三维彩超)、核磁共振成像(MRI)、心电图仪器、脑电图仪器等。

彩超
螺旋CT
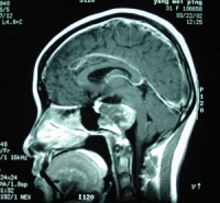
核磁共振成像(MRI)

  

应用[编辑 | 编辑源代码]

 

医学影像学可以作为一种医疗辅助手段用于诊断和治疗,也可以作为一种科研手段用于生命科学的研究中。

诊断主要包括(透视、放射线片、CT、MRI、超声、数字剪影、血管照影)。

治疗主要应用为介入治疗、放疗方面。

另外 除了医疗上面的用途之外,影像学结合其他学术领域,譬如认知心理学(cognitive psychology)、语言学(linguistics)、教育学(education)、社会学(sociology)等,可以让研究人员探索人类在进行认知行为时的大脑活动,这样的研究已经逐渐成形,学术界称之为认知神经科学(cognitive neuroscience)。

医学影像学中的许多技术已经在科学研究的工业中获得了广泛的应用。医学影像学的发展受益于现代计算机技术的突飞猛进,其与图像处理,计算机视觉,模式识别技术的结合产生了一个的计算机技术分支--医学图像处理。

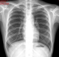
胸部正位平片

 

                                                                                                                                    

 

起源和发展  1895年德国的物理学家伦琴发现了X线,不久即被用于人体的疾病检查,并由此形成了放射诊断学。近30年来,CT、MRI、超声和核素显像设备在不断地改进核完善,检查技术核方法也在不断地创新,影像诊断已从单一依靠形态变化进行诊断发展成为集形态、功能、代谢改变为一体的综合诊断体系。与此同时,一些新的技术如心脏和脑的磁源成像和新的学科分支如分子影像学在不断涌现,影像诊断学的范畴仍在不断发展和扩大之中。

《医学影像学》是在“十五”国家级规划教材并荣获全国医药优秀教材奖的第5版基础上修订的。全书共分影像诊断学和介入放射学两篇,主要内容包括:成像技术与临床应用,骨骼肌肉系统,呼吸系统儿科影像学,中枢神经系统,血管介入技术等。《医学影像学》(第6版)可供高等院校基础、临床、预防、口腔医学类专业使用  

医学影像学专业[编辑 | 编辑源代码]

医学影像学专业

学 科:医学

门 类:临床医学与医学技术类

专业名称:医学影像学

业务培养目标:本专业培养具有基础医学、临床医学和现代医学影像学的基本理论知识及能力,能在医疗卫生单位从事医学影像诊断、介入放射学和医学成像技术等方面的医学高级专门。

业务培养要求:本专业学生主要基础医学、临床医学、医学影像学的基本理论知识,受到常规放射学、CT、磁共振、超声学、DSA、核医学影像学等操作技能的基本训练,具有常见病的影像诊断和介入放射学操作基本能力。

专业方向:毕业后主要从事临床医学影像诊断或放射治疗工作或医学教育及医学科研工作。

毕业生应获得以下几方面的知识和能力:

1.掌握基础医学、临床医学、电子学的基本理论、基本知识;

2.掌握医学影像学范畴内各项技术(包括常规放射学、CT、核磁共振、DSA、超声学、核医学、影像学等)及计算机的基本理论和操作技能;

3.具有运用各种影像诊断技术进行疾病诊断的能力;

4.熟悉有关放射防护的方针,政策和方法,熟悉相关的医学伦理学;

5.了解医学影像学各专业分支的理论前沿和发展动态;

6.掌握文献检索、资料查询、计算机应用的基本方法,具有一定的科学研究和实际工作能力。

主干学科:基础医学、临床医学、医学影像学。

主要课程:物理学、电子学基础、计算机原理与接口、影像设备结构与维修、医学成像技术、摄影学、人体解剖学、诊断学、内科学、影像诊断学、影像物理、超声诊断、放射诊断、核素诊断、介入放射学、核医学、医学影像解剖学肿瘤放疗治疗学、B超诊断学。

修业年限:五年

授予学位:医学学士

就业前景:主要到医疗卫生单位从事医学影像诊断、介入放射学、核医学成像技术等方面的工作。  

医学电子书 -- 700多本医学电子书阅读和下载。