匿名
未登录
讨论
贡献
登录
医学百科
搜索
文件:Bkh2v.jpg
来自医学百科
名字空间
文件
讨论
更多
更多
语言
页面选项
Read
编辑
编辑源代码
历史
文件
文件历史
文件用途
没有更高的分辨率。
Bkh2v.jpg
(607 × 600像素,文件大小:26 KB,MIME类型:
image/jpeg
)
文件历史
单击某个日期/时间查看对应时刻的文件。
日期/时间
缩略图
大小
用户
备注
当前
2014年1月18日 (六) 21:58
607 × 600
(26 KB)
Admin
(
讨论
|
贡献
)
您不可以覆盖此文件。
文件用途
以下页面使用本文件:
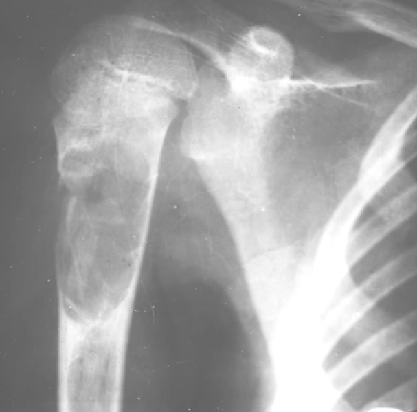
骨囊肿
导航
导航
症状百科
疾病百科
药品百科
中医百科
中药百科
人体穴位图
全国医院列表
功能菜单
最近更改
随机页面
Wiki工具
Wiki工具
特殊页面
页面工具
页面工具
用户页面工具
更多
链入页面
相关更改
可打印版本
固定链接
页面信息
页面日志